Logo LMU Klinikum
  • Startseite LMU Klinikum
  • Einrichtungen
  • Kontakt
  • Presse
  • International Patient Office
  • de
    • Deutsch - de
    • English - en
Ukraine-Hilfe Notfall
  • Medizin & Pflege
    • Einrichtungen
      • Kliniken
      • Abteilungen
      • Institute
      • Zentren
      • Post-Covid Ambulanz
      Bereiche
      • Pflege
      • Krankenhaushygiene
      • Qualitätsmanagement
      • Apotheke
      • Transplantationsbeauftragte
  • Patienten & Besucher
      • Patienten
      • Besucher
      • Service und Unterstützung
      • Anfahrt und Parken
      • Wichtige Dokumente
  • Forschung
  • Lehre
  • Das Klinikum
      • Wir über uns
      • Zentrale Bereiche
      • Historie
      • Standorte
      • Publikationen
      • Amtliche Veröffentlichungen
  • Karriere
      • Stellenanzeigen
      • Berufsgruppen
      • Benefits
      • Berufsausbildung
      • Freiwilligendienste
      • LMU Health Academy
  • Aktuelles
      • Newsmeldungen 
      • Veranstaltungen
      • Pressemitteilungen
  1. Startseite LMU Klinikum
  2. Aktuelles
  3. Pressemitteilungen
  4. Eine neue Dimension der Strahlentherapie
Pressemitteilungen | 21.10.2021 | Medizin, Forschung

Eine neue Dimension der Strahlentherapie

Erstmals können nicht operable Herztumore behandelt werden
Der neue MR Linac am LMU Klinikum bietet gleich mehrere Vorteile bei der Bestrahlung von Tumoren in beweglichen Organen: genauer, größere Dosen, bessere Schonung des gesunden Gewebes. Sogar Patientinnen und Patienten mit nicht operablen Herztumoren können so erstmals behandelt werden. „Mit dem MR Linac“, sagt Prof. Dr. Claus Belka, Direktor der Klinik und Poliklinik für Strahlentherapie und Radioonkologie am LMU Klinikum, „können wir live verfolgen, ob und wie sich der Tumor und das umgebende gesunde Gewebe durch die Therapie verändern. Das eröffnet eine neue Dimension der Präzision bei der Bestrahlung.“
LMU Klinikum
Dr. Stefanie Corradini (Mitte) mit einer Patienten - MR Linac

Viele Organe bewegen sich ständig. Das Herz oder die Lungen zum Beispiel. Oder deren direkte Nachbarn wie die Bauchspeicheldrüse und die Leber. Zwar ist die Bestrahlung von Krebsherden in diesen Organen auch bislang auf hohem Niveau machbar. Doch aufgrund der Bewegungen treffen die zelltötenden Strahlen auch gesundes Gewebe, das an die Tumoren grenzt. Entsprechend muss die Dosis der Bestrahlung limitiert werden, was wiederum den Erfolg der Therapie schmälert.

Mit dem MR Linac ist dieses Problem weitgehend Vergangenheit. Diese mächtige Maschine ist seit gut anderthalb Jahren am LMU Klinikum in Großhadern in Betrieb. Sie vereint zwei Geräte, die bislang strikt getrennt waren und allein für sich schon technologische Hochleistung bedeuten: ein “Linearbeschleuniger”, der die eigentliche Strahlung für die Strahlentherapie von Tumorpatienten erzeugt. Und ein Magnet-Resonanz-Tomograf, der strahlungsfrei während der Behandlung immer wieder Schichtbilder vom Tumor schießt.

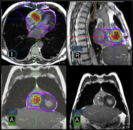
LMU KLinikum - Strahlentherapie
Aufnahmen eines Herztumors

„So können wir live und direkt verfolgen, ob und wie sich ein Tumor und das umgebende gesunde Gewebe durch die Therapie verändern“, sagt Privat-Dozentin Dr. Stefanie Corradini, leitende Oberärztin an der Klinik und Poliklinik für Strahlentherapie und Radioonkologie. „Damit können wir die gesamte Therapie sehr präzise gestalten und an die sich ändernden Verhältnisse im Krebsgewebe anpassen.“ Und zwar Tag für Tag. Denn die jeweils nächste Sitzung der Therapie wird immer neu von einem mehrköpfigen Team aus Ärztinnen und Ärzten, Medizinisch-Technischen Angestellten und Physikerinnen und Physikern für die aktuellen Verhältnisse im Gewebe berechnet.

„Für die Patientinnen und Patienten bringt das nur Vorteile“, erklärt Claus Belka, „weil wir das gesunde Gewebe exzellent schonen, können wir höhere Strahlendosen mit besserer Wirkung einsetzen.“ Seit Januar 2020 wurden in Großhadern bereits etwa 300 Patienten mit Tumoren in beweglichen Organen in rund 1.800 Einzelbestrahlungen behandelt.

Internationale SHARP-Studie startet

Dabei ermöglicht das High-Tech-Verfahren sogar die Behandlung von bösartigen Herztumoren. Diese Tumore sind zwar extrem selten. Da sie nicht operiert werden können, haben die Patienten bisher keine Therapieoption und geringe Überlebenschancen. „Wir können die Betroffenen mit hohen Dosen bestrahlen und ihre Tumoren in Schach halten“, sagt Stefanie Corradini. Das heißt: Die Krebsherde wachsen nicht weiter oder sie schrumpfen sogar. Auch Herzmetastasen lassen sich mit dem MR Linac behandeln. Inwieweit das Verfahren das Überleben der Patientinnen und Patienten langfristig verlängert, wollen die Experten des LMU Klinikums jetzt gemeinsam mit drei weiteren Krankenhäusern in einer großen internationalen Studie ermitteln. (SHARP trial - Stereotactic Heart Ablative RadiotheraPy - Prospektive Beobachtungsstudie zur MR-gesteuerten stereotaktischen ablativen Strahlentherapie von inoperablen primären oder rezidivierenden malignen Herzsarkomen oder Herzmetastasen).

„Wir hatten die Technologie von Anfang an sehr gut im Griff“, sagt Stefanie Corradini, „und wissen ganz genau, was wir tun.“ So ist das Team des LMU Klinikums an zahlreichen Studien beteiligt, in denen die Einsatzmöglichkeiten des MR Linac erforscht werden (Tumoren in Lunge, Leber, Prostata, und der Bauchspeicheldrüse). Und es hat federführend die europäischen Leitlinien gestaltet, beispielsweise für die Inbetriebnahme und praktische Einführung der MR-gesteuerten Bestrahlung mittels MR Linac in der Klinik.

Therapieangebot - Klinik und Poliklinik für Strahlentherapie und Radioonkologie

Alle LMU Klinikum Pressemitteilungen

Fachliche Ansprechpartnerin:

Priv.-Doz. Dr. med. Stefanie Corradini

Leitende Oberärztin, Bereichsleitung Brachytherapie und MR-Linac Klinik und Poliklinik für Strahlentherapie und Radioonkologie, LMU Klinikum

+49 89 4400-73737
cbiwguli-Syüppgmlaulvimtfuld#vfiuyziusami
Webseite der Klinik

Karrieretag für Pflegefachberufe

Pflege mit Herz und Kompetenz: Erleben Sie am 27. Juni 2025 den Karrieretag der Pflege am LMU Klinikum – ein Tag voller inspirierender Einblicke in den anspruchsvollen und ganzheitlichen Pflegealltag. Treffen Sie Experten, entdecken Sie vielfältige Karrierechancen und erhalten Sie spannende Informationen zu Jobs, Ausbildungen und Weiterbildungen. Kommen Sie vorbei, tauschen Sie sich mit Kollegen aus und lassen Sie sich von der gelebten Pflegewissenschaft begeistern – ganz unverbindlich und ohne Anmeldung.

mehr Informationen

LMU Klinikum

Marchioninistr. 15
81377 München

Ziemssenstr. 5
80336 München
089 4400 - 0
  • Impressum
  • Datenschutz

Links

Anmeldung für Redakteure
2025 © LMU Klinikum
  • Startseite LMU Klinikum
  • Einrichtungen
  • Kontakt
  • Presse
  • International Patient Office
    de
    • Deutsch - de
    • English - en

    LMU Klinikum

    • Medizin & Pflege
      • Einrichtungen
        • Kliniken
        • Abteilungen
        • Institute
        • Zentren
        • Post-Covid Ambulanz
      • Bereiche
        • Pflege
          • Ansprechpartner
          • Unser Pflegedienst
          • Stellenanzeigen
          • Leitbild
          • Anreizkonzepte
        • Krankenhaushygiene
        • Qualitätsmanagement
          • Qualitätspolitik
          • Qualitätsbewertungen
          • Initiative Qualitätsmedizin
        • Apotheke
        • Transplantationsbeauftragte
    • Patienten & Besucher
      • Patienten
      • Besucher
      • Service und Unterstützung
      • Anfahrt und Parken
      • Wichtige Dokumente
    • Forschung
    • Lehre
    • Das Klinikum
      • Wir über uns
        • Aufsichtsrat
        • Vorstand
          • Ärztliche Direktion
          • Kaufmännische Direktion
          • Pflegedirektion
          • Medizinische Fakultät
        • Personalvertretung
        • Organisation
        • Amtliche Veröffentlichungen
      • Zentrale Bereiche
        • Apotheke
        • Bau, Technik und Liegenschaften
        • Beschaffung und Wirtschaft
        • Betriebsärztlicher Dienst
        • Betriebliches Gesundheits- und Konfliktmanagement
        • Digitale Medizin und LMU MedBiobank
        • Zentrum für Medizinische Datenintegration und -analyse (MeDICLMU)
        • Medizintechnik und IT
        • Fundraising
        • Gleichstellung/AGG
        • Klinisches Ethikkomitee
        • Krankenhaushygiene
        • LMU Health Academy
        • LMU Medizin International 
        • Lob und Kritik
        • Medizinische Organisationsentwicklung
        • Menschenrechte – Human Rights (LkSG)
        • Patientenmanagement
          • Referat Patientenservice
          • Referat Erlössicherung
          • Medizincontrolling / MD-Management
        • Personal
        • Pressestelle
          • Dreh- und Fotogenehmigung
          • Expertenvermittlung
          • Pressemitteilungen
          • Pressetermine
        • Projektbüro
        • Qualitäts- und Risikomanagement
        • Recht und Compliance
          • Compliance
        • Sicherheit
        • Sozialberatung
        • Strategische Unternehmenssteuerung und Nachhaltigkeit
        • Zentrumsleitung
      • Historie
      • Standorte
        • Zukunft Großhadern
          • Das Neue Hauner
            • Aktuelles
              • Der Spatenstich
            • Unser Projekt
            • Unsere Partner
            • Ihre Spende
      • Publikationen
      • Amtliche Veröffentlichungen
    • Karriere
      • Stellenanzeigen
      • Berufsgruppen
      • Benefits
      • Berufsausbildung
      • Freiwilligendienste
      • LMU Health Academy
    • Aktuelles
      • Newsmeldungen 
      • Veranstaltungen
      • Pressemitteilungen